Skip to content
Perio-Syringes-3-1
Anna Hancock, RDHNovember 7, 20253 min read

How PerioDT® Became a Game-Changer in My Hygiene Practice

How PerioDT® Became a Game-Changer in My Hygiene Practice
3:00

Discovering PerioDT®

I first heard about PerioDT® from our regional dental hygiene coordinator and, honestly, I was immediately intrigued. Our coordinator shared how it was making a difference in patient outcomes and helping clinicians achieve cleaner, healthier results during periodontal therapy. Hearing about the benefits for both the patient and the provider was enough to convince me to give it a try.

Introducing It to My Patients

When I first began integrating PerioDT® into my periodontal therapy treatments, I also started introducing it to my patients—explaining how it supports better healing by targeting bacteria and helping me reach those tough, hard-to-clean areas.

From the very first few uses, I could tell it was different.

Immediate Results

The outcomes were almost immediate. There was noticeably less bleeding during procedures, and patients could actually feel the difference. Several even mentioned how grateful they were and how much more comfortable their gums felt afterward.

 

Before-1
Periodontal Chart Before - 1 Periodontal chart showing comprehensive probing data, including pocket depths, clinical attachment levels (CAL), gingival margins, bleeding points, and furcation involvement across all teeth. The chart provides a visual summary of periodontal health for both facial and lingual surfaces, helping track disease progression and treatment outcomes.
Before-2
Periodontal Chart Before - 2 Periodontal chart showing comprehensive probing data, including pocket depths, clinical attachment levels (CAL), gingival margins, bleeding points, and furcation involvement across all teeth. The chart provides a visual summary of periodontal health for both facial and lingual surfaces, helping track disease progression and treatment outcomes.
After-1
Periodontal Chart After - 1 Periodontal chart showing comprehensive probing data, including pocket depths, clinical attachment levels (CAL), gingival margins, bleeding points, and furcation involvement across all teeth. The chart provides a visual summary of periodontal health for both facial and lingual surfaces, helping track disease progression and treatment outcomes.
After-2
Periodontal Chart After - 2 Periodontal chart showing comprehensive probing data, including pocket depths, clinical attachment levels (CAL), gingival margins, bleeding points, and furcation involvement across all teeth. The chart provides a visual summary of periodontal health for both facial and lingual surfaces, helping track disease progression and treatment outcomes.

 

👉 Click here to read the full case study.

 

Lasting Improvements

What really surprised me came a few weeks later during recare appointments. The improvement in tissue health was incredible—the probing depths had decreased, bleeding had significantly reduced, and the overall inflammation was so much better than what I typically saw at that point in healing.

A Game-Changer in My Operatory

Compared to my previous periodontal treatments without PerioDT®, the difference has been night and day. It’s truly been a game changer in my operatory. Not only does it provide remarkable healing benefits for my patients, but it’s also made my job easier as a clinician. The product allows me to access and remove more bacteria and difficult-to-reach calculus, which ultimately helps me deliver better results in less time.

 

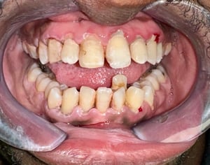
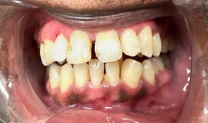
Before & After

Use the image slider to see the transformation from pre-treatment (left) to three weeks post-treatment with PerioDT® (right). 

Before Image 4-1-25-4-1
Post Op Image 4-24-25-1-2

 

How I Use PerioDT® in Practice

Here’s a quick look at how I use it in practice:

  1. Isolate and dry the area thoroughly.

  2. Apply the tip of the PerioDT® syringe to the bottom of the pocket, allowing it to fill the interproximal areas.

  3. Move around the buccal surfaces and repeat on the lingual surfaces.

  4. Let it sit for about 10–30 seconds.

  5. Remove the product using a high-volume evacuator, followed by a thorough water rinse.

  6. Proceed with scaling and debridement for the intended procedure—whether it’s periodontal therapy, maintenance, gingival therapy, or even on lingual bars during a prophy appointment.

  7. Repeat the PerioDT® application to remove any remaining biofilm and ensure the area is as clean and healthy as possible.

 

Predictable Results and Healthier Smiles

Since incorporating PerioDT® into my routine, I’ve seen more predictable results, happier patients, and healthier tissue. It’s an easy addition to my workflow that’s made a big impact on both patient outcomes and clinical efficiency.

 

👉 Click here to read the full case study.

avatar
Anna Hancock, RDH
With over five years of experience in dentistry, I’ve had the privilege of growing within the field—from starting out as a dental assistant to becoming a registered dental hygienist. This journey has given me a well-rounded clinical perspective and a deep appreciation for how far dental care has come—and where it’s going. As a current RDH, I’ve seen firsthand how the right tools and technologies can transform patient outcomes and streamline care. Products like PerioDT and Perio Protect have made a noticeable difference in both treatment efficiency and patient comfort. My experience using these advancements in real-world practice makes me confident in my ability to educate other professionals about what truly works in a clinical setting. I’m passionate about dental innovation not just for the benefit of clinicians, but also for the patients we serve. I believe in making dentistry easier, more effective, and more impactful—by promoting tools and techniques that elevate care and simplify workflows. My goal is to become a clinical educator, collaborate with forward-thinking dental product companies, and help bridge the gap between innovation and practice. I want to empower other dental professionals to embrace the future of dentistry—while ensuring every patient receives the best possible care.
COMMENTS

RELATED ARTICLES